Ai-MRI검사
MRI Scan
MRI Scan
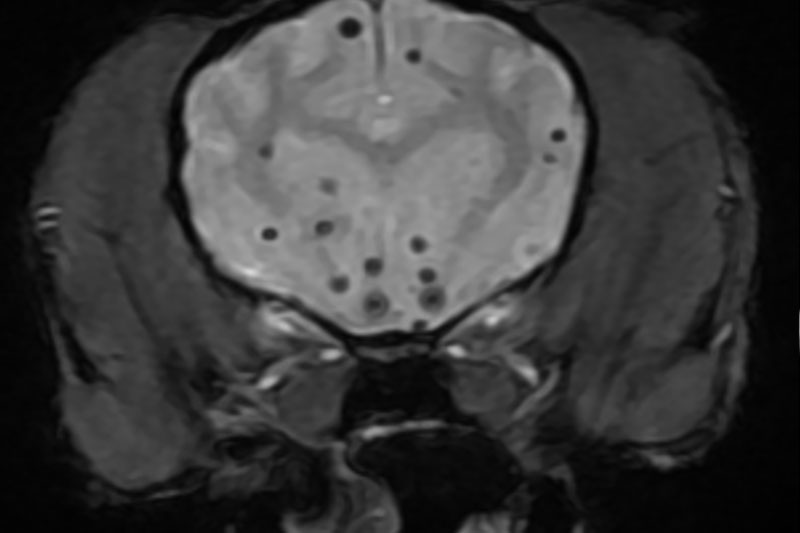
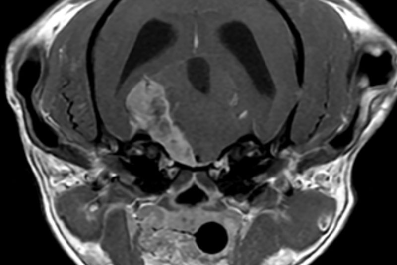
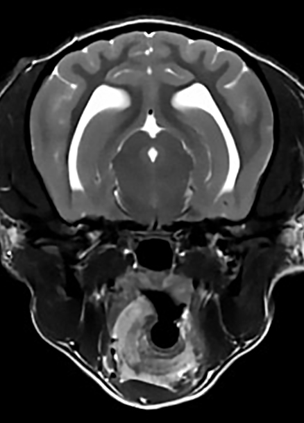
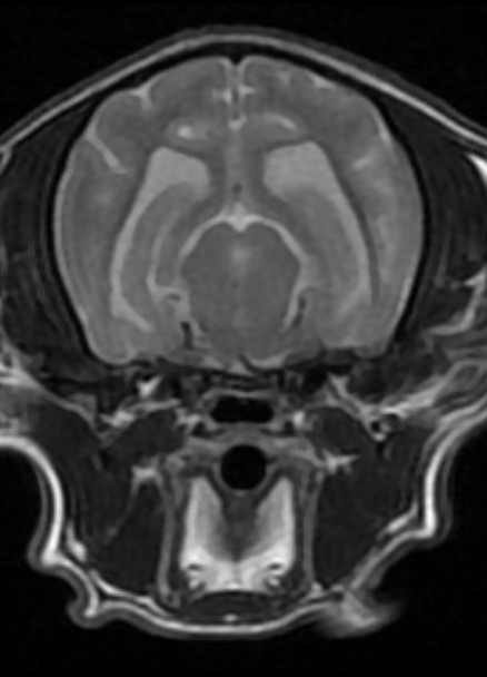
본 병원은 GE사의 1.5T 고해상도 자기공명영상장치(MRI)를 이용하여, 자기장을 이용한 비침습적 방식으로 뇌, 척수, 근골격계 등 다양한 연부조직을 정밀하게 영상화할 수 있습니다. MRI는 방사선을 사용하지 않아 반복 촬영에도 안전하며, 신경계 및 연부조직에 대한 탁월한 해상도를 제공하여 정확한 진단에 매우 유용합니다.
또한 본원의 MRI 장비는 GE사의 PROPELLER 기법을 도입하여 호흡이나 움직임에 따른 영상 왜곡을 최소화하면서도 검사 시간을 단축시켜, AI 기반 영상 처리 기술을 통해 노이즈를 줄이고 더욱 선명하고 명확한 영상을 획득할 수 있습니다. 이러한 기술적 강점을 바탕으로 마취 시간과 그에 따른 환자의 부담을 줄이면서도, 진단에 충분한 고화질 영상을 안정적으로 확보할 수 있습니다.











| 구분 | 상세 위치 |
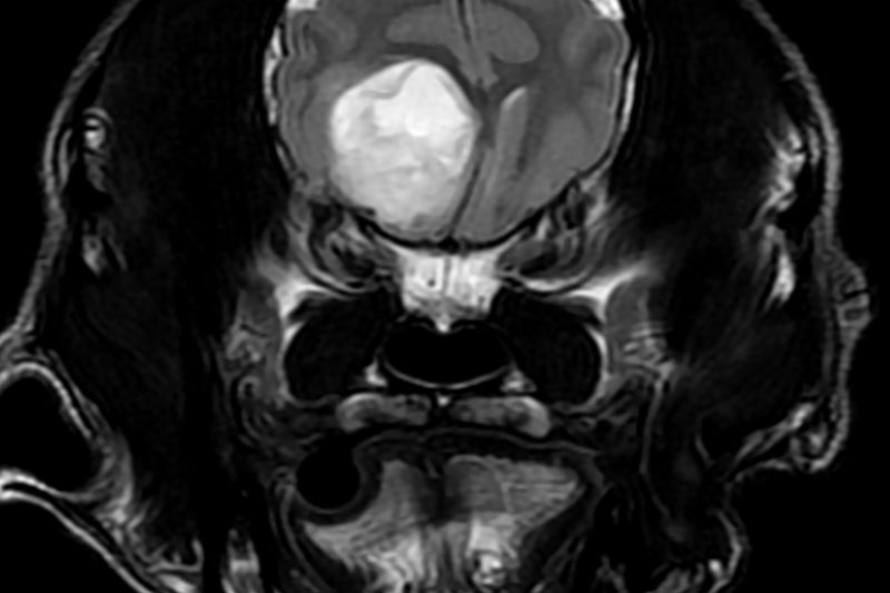
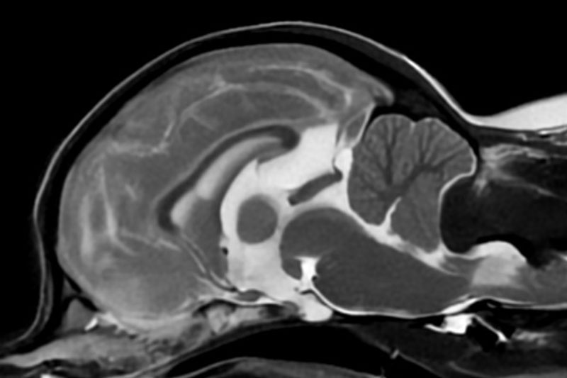
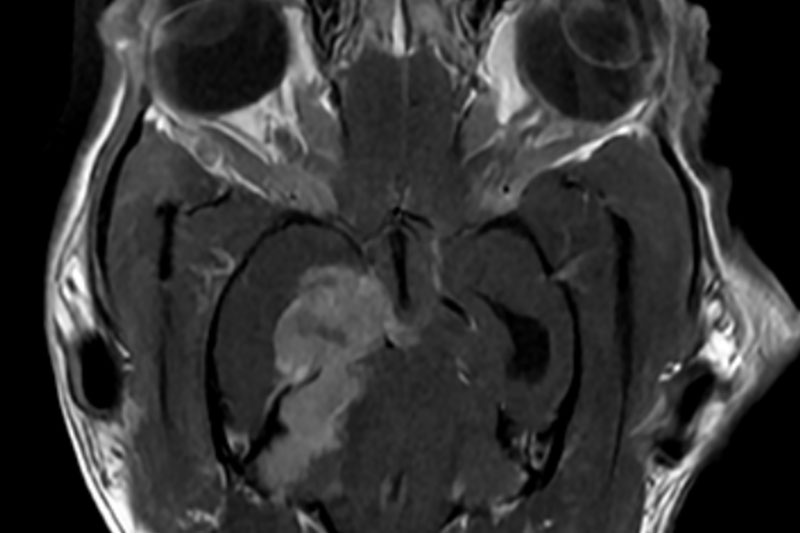
| 뇌/두개강 | 뇌종양, 뇌염, 수두증, 간질, 뇌출혈, 시신경 이상 등 |
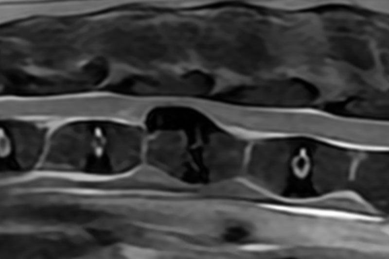
| 척수/신경계 | 디스크 탈출, 척수압박, 척수염, 척수종양 등 |
| 관절/연부조직 | 십자인대 손상, 슬개골 탈구, 인대/연골 이상, 관절염 등 |
| 복부 연부조직 | 간, 췌장, 신장, 부신 등 내부 장기의 정밀 촬영 |
| 종양 조직 | 종양의 성질, 침윤 범위, 주위 조직과의 관계 확인 등 |
병변의 위치·모양·크기를 정량적으로 분석
AI 자동 보정으로 미세 병변 패턴까지 탐지
신속 판독을 통한 빠른 의사결정 지원
고해상도 영상 확보로 반복 촬영 감소
뇌·척수 등 중추신경계 연부조직 변화 정밀 확인
관절·인대·연골 등 운동계 미세 손상 진단
종양의 경계·성질·침윤 범위 세밀 평가
복부 장기 초기 병변 및 연부조직 이상 분석
혈관 구조·혈류 변화·신경 경로 시각화
수술 전 3D 구조 기반 정밀 수술 계획 수립
검사 전 최소 8시간 금식, 4시간 금수를 유지해 주세요.
현재 복용 중인 약물이나 보조제가 있다면 의료진에게 미리 알려 주세요.
심장질환, 신부전, 간질환 등 기저 질환이 있다면 반드시 사전에 말씀해 주세요.
이전에 마취 중 이상반응이 있었다면 꼭 알려 주세요.
검사 전 시행되는 마취 전 검사(채혈·X-ray·초음파 등)를 안내받고 준비해 주세요.
촬영을 위해 목걸이, 하네스, 의류, 금속성 액세서리를 모두 제거해 주세요.
검사 당일에는 흥분이나 스트레스를 최소화할 수 있도록 안정된 상태로 방문해 주세요.