고양이외과
Feline Surgery
Feline Surgery
고양이는 다른 동물들에 비해 신체 구조와 특성이 다르므로, 고양이 전용의 외과적 접근과 수술 기법이 필요합니다.
고양이 외과는 질병 치료, 상처 회복, 기능 회복 등을 위해 필요한 다양한 외과적 절차를 수행합니다.
주요 대상 질환에는 외상, 장기 질환, 종양, 기타 선천적/후천적 문제 등이 있습니다.
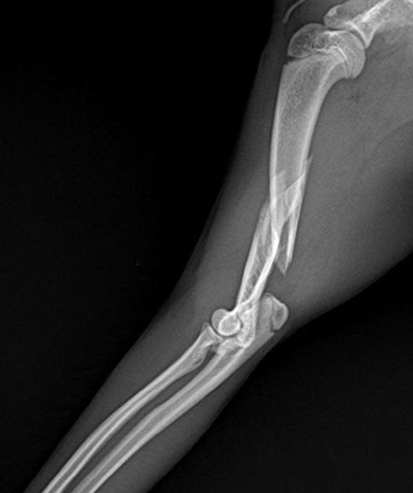
정형외과는 뼈, 관절, 인대, 힘줄, 근육 등 근골격계와 관련된 질환을 예방, 진단, 치료하는 의학의 한 분야입니다. 고양이를 포함한 동물들의 근골격계 질환을 다루는 정형외과는 골절, 탈구, 관절염, 슬개골 탈구 등 다양한 질환을 치료하고, 수술적 치료뿐만 아니라 보존적 치료와 재활 치료도 함께 제공합니다.
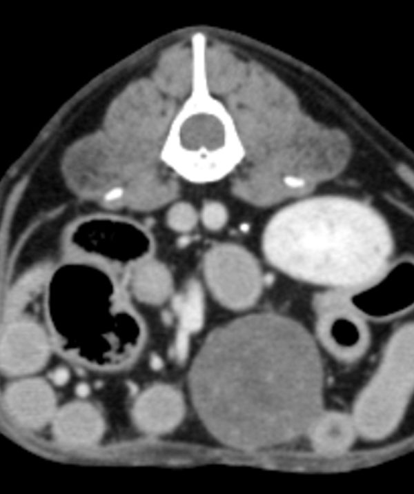
소화기 외과(Gastrointestinal Surgery)는 소화기 계통에 관련된 질환을 외과적 수술로 치료하는 분야입니다. 고양이를 포함한 동물들의 소화기 문제를 해결하기 위해 다양한 수술적 접근을 사용합니다. 소화기 계통은 식도, 위, 장, 간, 췌장, 직장, 항문 등으로 구성되어 있으며, 이러한 부위에 발생한 질환이나 손상을 외과적 방법으로 치료합니다.
비뇨기 외과(Urological Surgery)는 비뇨기 계통과 관련된 질환을 외과적 방법으로 진단하고 치료하는 분야입니다. 고양이를 포함한 동물들의 신장, 방광, 요도, 외음부 등 비뇨기 계통에 발생한 다양한 질환을 다루며, 이러한 부위의 기능 회복을 목표로 수술적 치료를 제공합니다. 비뇨기 계통에는 소변 생성과 배출을 담당하는 중요한 기관들이 포함되어 있기 때문에, 이들에 발생한 문제는 생활의 질에 큰 영향을 미칠 수 있습니다.
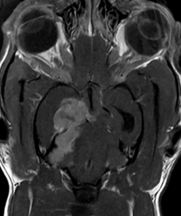
종양외과(Oncologic Surgery)는 종양 또는 암이 발생한 부위의 외과적 치료를 담당하는 분야입니다. 고양이를 포함한 동물들의 종양은 악성일 수도 있고, 양성일 수도 있으며, 외과적 제거나 치료적 수술을 통해 종양을 처리합니다. 종양외과는 종양의 크기, 위치, 악성 정도 등에 따라 맞춤형 수술적 방법을 선택하여 치료합니다.
호흡기 외과(Thoracic Surgery)는 호흡기 계통과 관련된 질환을 외과적 방법으로 진단하고 치료하는 분야입니다. 고양이를 포함한 동물들의 호흡기 질환은 기도, 폐, 흉막 등과 관련된 질환을 포함하며, 호흡 기능에 영향을 미치는 다양한 문제를 다룹니다. 호흡기 외과는 폐, 기관, 기관지, 흉막 등의 부위에서 발생하는 질환에 대해 수술적 치료를 제공하여 동물의 호흡 기능 회복을 돕습니다.
신경외과(Neurosurgery)는 신경계의 질환이나 부상을 외과적 방법으로 치료하는 분야입니다. 신경계는 뇌, 척수, 말초 신경으로 구성되어 있으며, 신경외과는 이러한 신경계의 질환, 손상, 기형 등에 대한 수술적 치료를 담당합니다. 고양이를 포함한 동물들의 신경계 질환은 때로는 생명에 위협을 가할 수 있으며, 빠른 치료가 필요합니다.
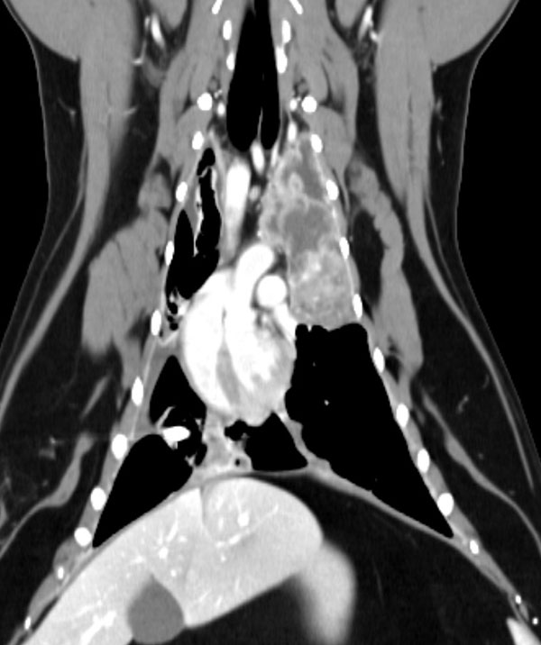
흉부 외과(Thoracic Surgery)는 흉강(chest cavity) 내에 있는 장기, 즉 심장, 폐, 식도, 기흉과 같은 호흡기계 및 심혈관계 질환을 치료하는 외과 분야입니다. 흉부 외과는 다양한 외상, 질환, 종양 등으로 인해 발생하는 호흡기 및 순환계 질환을 수술적 방법을 통해 치료하는 중요한 영역입니다. 고양이와 같은 동물에서도 흉부 외과적 개입은 매우 중요하며, 고양이에게 발생할 수 있는 심장 질환, 호흡기 질환, 기흉, 흉부 외상 등의 문제를 해결하는 데 중점을 둡니다.
소화기 & 간담도 외과(Gastrointestinal and Hepatobiliary Surgery)는 소화기계와 간담도계에 발생한 다양한 질환에 대해 수술적 치료를 진행하는 전문 외과 분야입니다. 이 분야는 위, 장, 간, 담낭, 췌장 등을 포함한 소화기 계통과 관련된 질환을 다루며, 고양이와 같은 동물에서의 수술적 치료도 매우 중요한 역할을 합니다.
