CT검사
CT Scan
CT Scan
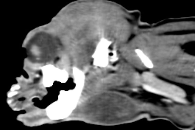
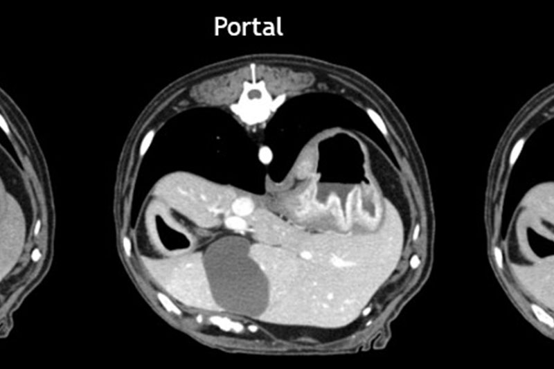
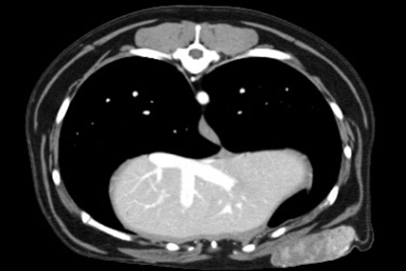
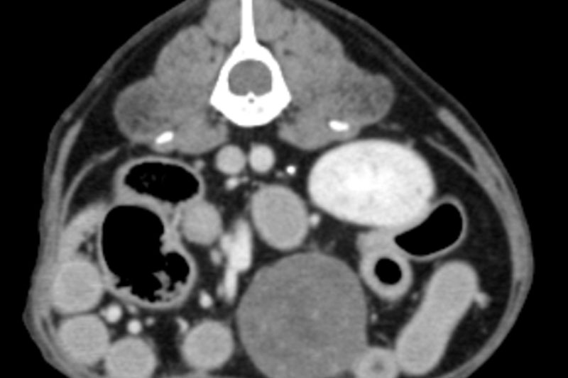
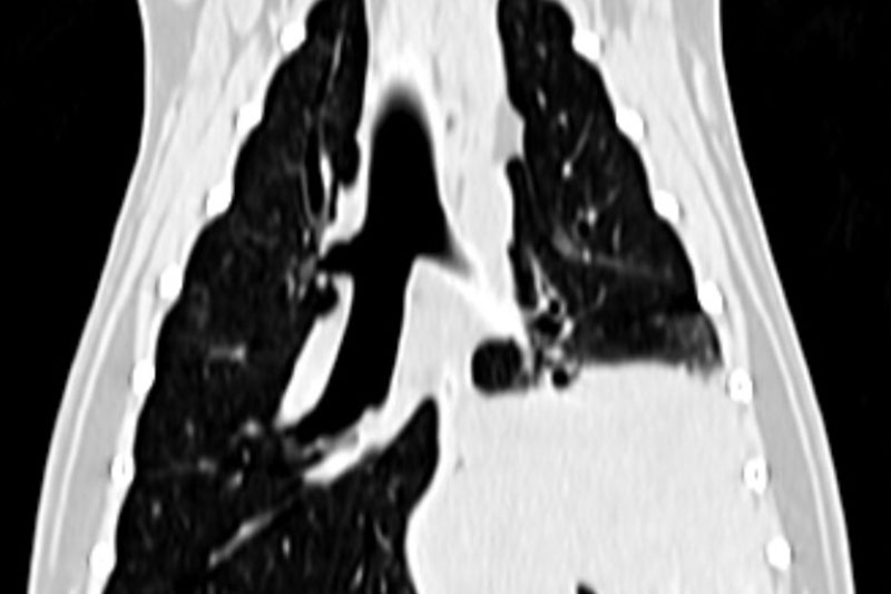
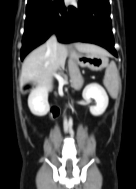
CT (Computed Tomography, 전산화 단층촬영) 검사는 X-ray를 이용해 반려동물의 몸을 여러 각도에서 촬영하고, 이를 컴퓨터로 합성하여 단면 이미지(슬라이스)를 만들어내는 정밀 진단 장비입니다.
사람 병원에서도 널리 사용하는 기술로, 뼈, 장기, 혈관, 종양 등 몸속 구조를 3차원(3D)으로 시각화할 수 있습니다.
최첨단 CT 장비, 풍부한 임상경험, 그리고 미세한 이상도 놓치지 않겠다는 단단한 사명감으로 반려동물의 생명을 지키는 길을 만들어가겠습니다.













| 구분 | 상세 위치 |
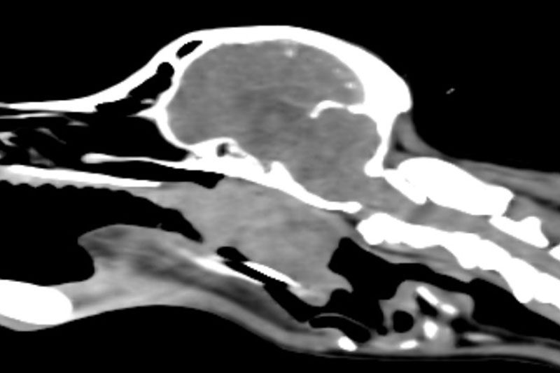
| 두부(머리) | 뇌종양, 두개골 골절, 중이염, 치주염, 안와(눈) 질환 등 |
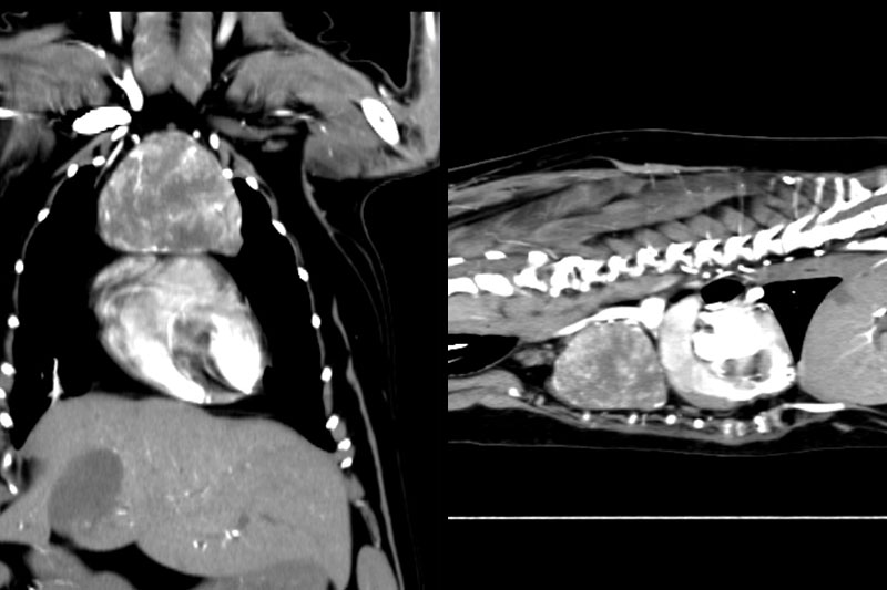
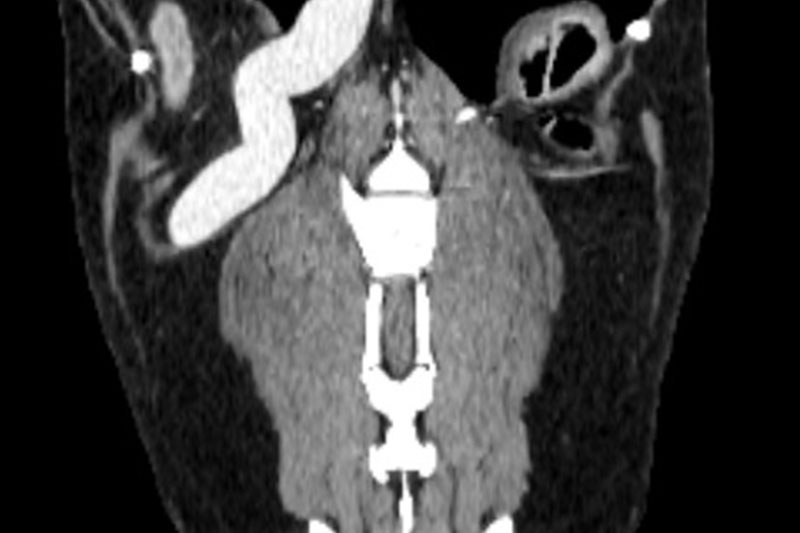
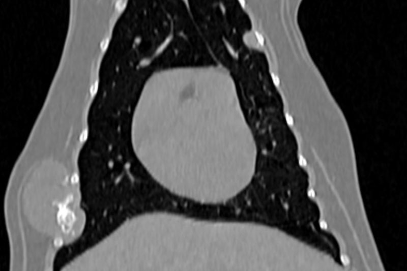
| 흉부(가슴) | 폐종양, 늑골 골절, 기관지 협착, 심장 주변 병변 등 |
| 복부 | 간, 비장, 신장, 위장관 종양 및 결석, 부신, 림프절 등 |
| 척추/관절 | 디스크 질환, 척추 골절, 관절염, 관절 기형 등 |
| 사지 및 골격 | 골절, 종양, 기형, 관절 손상 등 |
| 비뇨생식기 | 방광결석, 요관 폐색, 전립선비대, 생식기 종양 등 |
보이지 않는 내부 장기의 구조를 3D로 정확하게 확인
뼈·관절·척추의 미세 골절 및 변형 정밀 진단
종양의 위치, 크기, 모양, 주변 침범 여부까지 정확 분석
혈관 조영(Angio CT)을 통한 혈관 이상 진단
디스크(IVDD)와 척수 압박 병변의 정확한 위치 파악
폐 질환의 상세 평가
복부 장기의 종양, 염증, 결석, 기형 등 고해상도 분석
수술 전 병변 위치를 정확히 파악해 수술 계획을 최적화
이물질(위장관·기도·비강 등)의 정확한 위치 및 종류 확인
X-ray 대비 월등히 높은 정확도로 조기 발견 가능
CT 촬영은 대부분 전신마취 또는 진정이 필요하므로, 검사 전 8시간 이상 금식 / 4시간 이상 금수가 원칙입니다.
최근 복용 중인 약물, 기저 질환(심장질환, 신부전, 간질환 등)이 있다면 미리 의료진에게 꼭 알려주세요.
검사 전 채혈·흉부 X-ray 등 마취 전 검사(Pre-anesthetic check)를 통해 마취 안전성을 평가한 뒤 진행됩니다.
과거 마취 경험에서 이상반응, 구토, 저체온, 저혈압 등이 있었던 경우 반드시 사전에 말씀해 주세요.
검사 당일에는 목걸이·하네스·의류 등을 모두 제거하고 방문하시면 촬영 준비가 보다 신속합니다.
검사 후에는 마취에서 깨어나는 과정이 필요하므로 회복 시간까지 여유 있게 내원 부탁드립니다.