강아지 뇌출혈과 뇌수두증, 개두술로 회복한 신경외과 치료 사례
페이지 정보
본문
강아지 뇌출혈과 뇌수두증, 개두술로 회복한 신경외과 치료 사례
경기동물의료원 외과센터 김태정 대표원장
시력 소실과 발작을 보이던 1세, 3.5kg의 닥스훈트 환자가 점차 상태가 악화되며 내원했습니다.
처음에는 단순한 이상 행동처럼 보였지만, 시간이 지나면서 균형을 잡지 못하고 비틀거리는 보행 이상이 나타났고, 식욕 저하와 기력 저하, 반복적인 구토까지 동반되며 전반적인 건강 상태가 빠르게 무너지고 있었습니다.
내원 당시 환자는 저혈압성 쇼크와 극심한 탈수가 동반된 위중한 상태였으며, 즉각적인 처치가 필요한 상황이었습니다.
과거 병력 확인 결과, 약 8개월 전 외상 이후부터 시력 소실과 발작 증상이 시작된 것으로 확인되었습니다.
▶ 정밀 검사 진행
■ 혈액검사
혈액검사에서는 염증 수치 상승과 함께 간 수치 및 신장 수치 증가, 빈혈, 혈소판 감소, 백혈구 증가 등이 확인되었고, 이 검사 결과는 신경 질환을 넘어 다발성 장기 손상이 진행되고 있음을 의미했습니다.

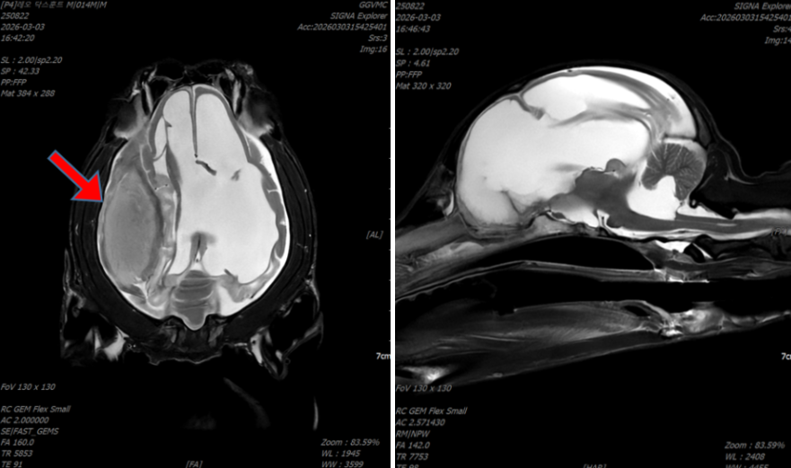
■ 상위 영상검사
보다 정확한 진단을 위해 상위 영상 검사를 진행했습니다.
- CT 검사에서는 두개골 골절선이 확인되었으며,
- MRI 검사에서는 두개강 내 혈종과 함께 뇌실 확장이 확인되었습니다.
이번 케이스는
1. 외상 이후 발생한 강아지 뇌출혈이 장기간 지속되면서 혈종이 형성되고,
2. 이 혈종이 뇌를 압박하면서 뇌압 상승과 발작을 유발한 경우였습니다.
3. 또한 혈종이 뇌척수액의 흐름을 방해하면서 뇌실이 확장되는 이차성 뇌수두증으로 진행된 것으로 판단되었습니다.
▶ 치료 방법
치료는 우선적으로 생명을 위협하는 저혈압성 쇼크를 안정시키는 것부터 시작되었습니다. 상위검사를 진행하기 전, 수액 처치를 통해 순환 상태를 회복시킨 뒤, 뇌압을 낮추기 위한 mannitol 투여와 항경련제 처치, 산소 공급을 병행하며 수술 전 상태를 안정화했습니다.
이후 근본적인 원인을 해결하기 위해 강아지 뇌수술(개두술)을 진행하였으며, 수술을 통해 뇌 내 혈종을 제거하고 일부 뇌척수액을 감압하여 뇌압을 효과적으로 낮추었습니다.
수술 이후에는 약 일주일간 입원 치료를 진행하며 신경학적 상태를 지속적으로 모니터링했고, 항경련제, 수액, 항생제 치료를 병행하여 안정적인 회복을 유도했습니다.

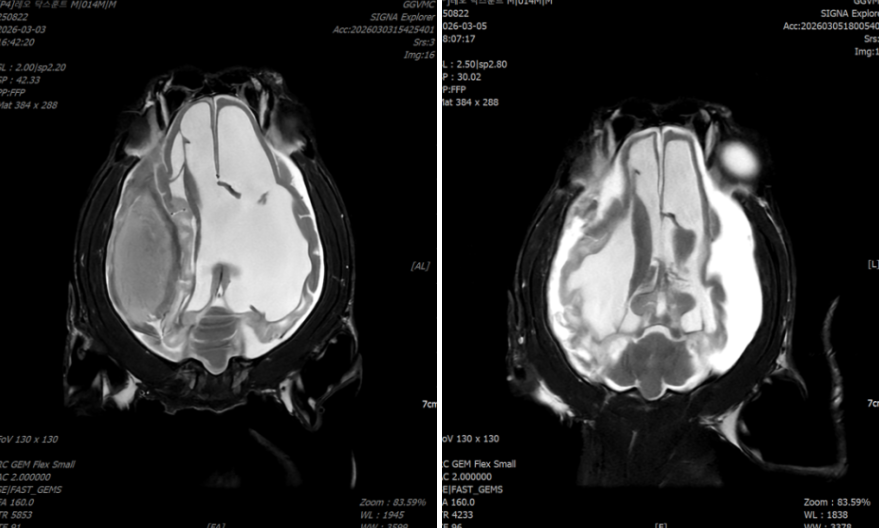
▶ 수술 후 결과
그 결과,
1. 수술 다음 날부터 식욕이 회복되기 시작했으며,
2. 균형 감각 또한 점차 정상적으로 돌아오는 모습을 보였습니다.
3. 무엇보다 지속적으로 나타나던 발작 증상이 더 이상 관찰되지 않는 등 신경학적 개선이 빠르게 확인되었습니다.
<좌: 수술 전, 우: 수술 후>
강아지 뇌출혈로 인한 혈종은 경우에 따라 자연적으로 흡수되기도 있지만, 혈종의 위치와 크기, 신경 증상의 진행 속도, 약물 치료에 대한 반응 등을 종합적으로 고려했을 때, 이처럼 적절한 시점의 외과적 개입(개두술)이 예후를 크게 좌우하는 경우도 많습니다.
외상 이후 나타나는 작은 변화들, 예를 들어 보행이 어색해지거나 발작, 시력 변화와 같은 신호는 단순한 문제로 넘기기 쉽지만, 실제로는 뇌 질환의 초기 신호일 수 있습니다. 이러한 증상이 보인다면 빠른 시점에 정밀 검사와 전문적인 치료를 진행하는 것이 매우 중요합니다.
강아지 뇌수두증, 뇌출혈, 발작과 같은 신경 질환은 조기에 정확한 진단과 치료가 이루어질 경우 충분히 회복 가능성을 기대할 수 있습니다. 이번 사례처럼 적절한 치료 타이밍은 아이의 삶의 질을 크게 변화시키는 중요한 기준이 됩니다.
- 다음글강아지 면역매개성 혈소판 감소증(IMT), 피부의 멍, 흑변 증상 26.04.18