강아지 장폐색 수술 사례, 족발뼈 섭취 후 구토
페이지 정보
본문
족발뼈 섭취 후 구토, 빠른 치료로 회복한 케이스
경기동물의료원 외과센터 김태정 대표원장
안녕하세요, 경기동물의료원 외과센터입니다.
오늘은 보호자분들께서 반드시 알고 계셔야 할 강아지 이물 섭취로 인한 장폐색 사례를 소개드립니다.
특히 뼈 간식, 족발뼈, 닭뼈 등을 급여하시는 경우 반드시 주의가 필요한 케이스입니다.
반려견이 뼈 간식을 먹은 뒤 구토를 하거나 식욕이 떨어지는 경우, 단순한 소화 문제로 생각하고 지나치는 경우가 많습니다. 하지만 경우에 따라서는 이물 섭취로 인한 장폐색으로 이어질 수 있어 빠른 판단이 매우 중요합니다.

이번에 내원한 강아지는 10살, 4kg의 장모 치와와로 족발뼈를 섭취한 다음 날부터 식욕이 떨어지고 구토와 설사를 반복하는 증상을 보였습니다. 보호자님께서 이상을 빠르게 인지하고 내원해주셨습니다.

<혈액검사>
- 혈액검사에서는 탈수가 진행된 상태가 확인되었고, 염증 수치도 크게 상승해 있었습니다. (HCT 62.8, ALB 3.3, CRP 71)
- 방사선 검사에서는 위와 소장 부위에 뼈로 의심되는 이물이 관찰되었으며,
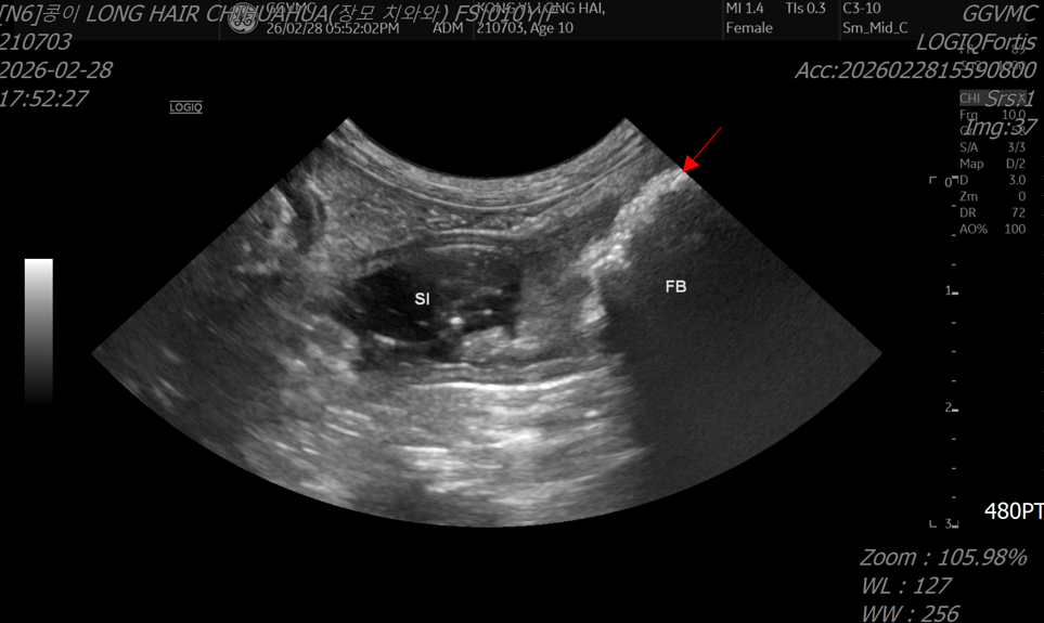
- 초음파 검사에서도 소장 폐색이 의심되는 소견이 확인되었습니다.
단순 위장염이 아닌, 이물에 의한 장폐색 상황이었습니다.
방사선 검사: 위와 회장 부위에 뼈로 의심되는 이물 확인


<방사선 검사>
초음파 검사: 소장 폐색 의심 소견


<초음파 검사>
장폐색은 시간이 지날수록 위험도가 높아지는 질환입니다. 장이 막히면 음식물과 가스가 정체되면서 장이 팽창하고, 구토가 반복되며 전신 상태가 빠르게 악화됩니다. 이후에는 혈류 장애로 이어지며 장 조직이 괴사할 수 있어 빠른 외과적 개입이 무엇보다 중요합니다.
→ 장이 팽창하고
→ 구토가 반복되며
→ 혈류가 차단되고
→ 결국 장 괴사까지 진행될 수 있음
▶ 치료 시작
이 강아지 환자의 경우에도 지체 없이 수술을 진행하였으며, 위와 소장을 절개하여 폐색을 유발하던 족발뼈를 제거했습니다.
이물 제거를 통해 장의 정상적인 흐름을 회복시킬 수 있었고, 추가적인 합병증 진행을 막을 수 있었습니다.
수술 이후에는 위장염에 준한 치료를 병행했습니다.
1. 수액 치료와 항생제, 진통 관리를 통해 회복을 도왔고,
2. 퇴원 후에는 식욕이 정상적으로 돌아오고 구토나 설사 없이 안정적인 상태를 유지하며 잘 회복되었습니다.
이번 케이스에서 가장 중요한 포인트는 ‘빠른 내원과 빠른 치료’였습니다.
장폐색은 시간이 지날수록 장 괴사로 진행될 수 있기 때문에, 증상이 의심되는 순간 즉시 병원을 찾는 것이 예후를 크게 좌우합니다.
반려견이 뼈, 장난감, 이물질을 삼킨 이후
✔ 구토를 반복하거나
✔ 식욕이 급격히 떨어지고
✔ 복부 불편감을 보인다면
지켜보기보다는 빠르게 검사를 받아보시길 권해드립니다.
경기동물의료원 외과센터는 장폐색, 이물 제거 수술과 같은 응급 외과 질환에 대해 신속하고 정확한 진단과 치료를 통해 아이들의 회복을 돕고 있습니다.
소중한 아이의 건강, 작은 신호도 놓치지 않는 것이 가장 중요합니다.
- 다음글강아지 급성신장손상(AKI), 강아지 투석 치료로 회복한 사례 26.04.02