치료후기 | 경기동물의료원
company

치료후기

Case Review

커뮤니티

다양한 치료 케이스를 소개합니다.

췌장염이 만든 간 농양 발생 원인 및 치료, 강아지 간 농양, 만성 췌장염

페이지 정보

작성일 26-04-01 19:15

본문

45dea41c691aea1975c51c7a51847d38_1775038116_5535.jpg
 



췌장염이 만든 간 농양 발생 원인 및 치료

Ascending Hepatic Abscess due to Enterococcus faecalis in a Dog with Persistent Pancreatitis

[경기동물의료원 이승혁 대표원장, 이광섭 내과과장]



노령 환자(노령 강아지)에서의 발열과 식욕부진은 흔히 접하는 증상이지만, 그 이면에 복합적인 병태생리가 숨어 있는 경우가 많습니다. 


​이번 케이스는 지속적인 만성 췌장염 환자에서, 간 농양이 발생한 케이스입니다.

췌장염과 간 농양간의 연관성에 대한 고찰을 담은 글이며, 췌장–담도–간으로 이어지는 연속적인 병변이 어떻게 하나의 결과로 나타나는지를 잘 보여준 사례였습니다.

또한, 간 농양을 어떤 식으로 치료하면 좋을지, 어떻게 치료했는지에 대한 소개를 해드리려합니다. 


16세, 4kg의 Pompitz 수컷 환자가 식욕부진과 발열, 장염(설사)을 주소로 내원하였습니다. 


해당 환자는 과거부터 반복적인 췌장염 병력이 있었던 환자로, 내원 당시 혈액검사에서는 현저한 백혈구 증가와 함께 CRP 상승, 그리고 cPL 증가가 확인되어 전신적인 염증 반응과 췌장 활성화 상태가 동반된 것으로 판단되었습니다. 


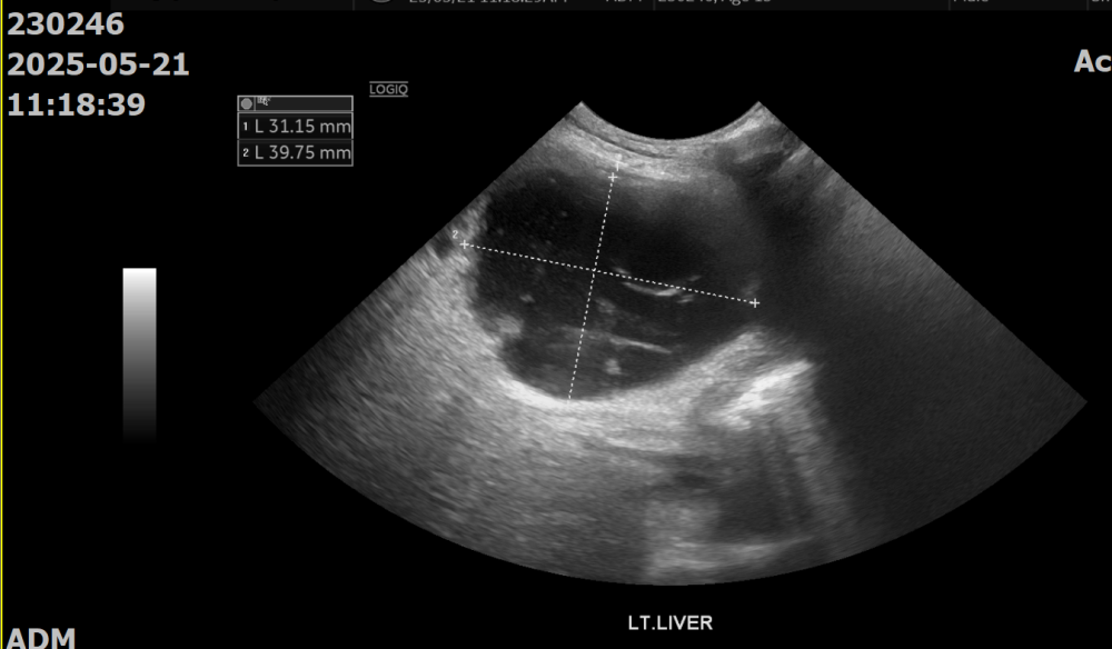
복부초음파상에서도 마찬가지로 불균질한 고에코성의 췌장 실질, 주변 복막염이 관찰되었습니다. 추가로, 간에 Cystic한 mass가 관찰되었습니다.  


45dea41c691aea1975c51c7a51847d38_1775038216_4182.png



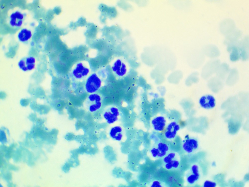
간 병변에 대해 초음파 유도 세침흡인을 시행한 결과, 다수의 호중구 침윤과 퇴행성 변화, 그리고 괴사성 debris가 관찰되어 화농성 염증이 강하게 의심되었습니다.  


45dea41c691aea1975c51c7a51847d38_1775038229_0797.jpg



실제로 세포검사에서는 neutrophilic inflammation이 확인되었으며, 일부 호중구 내에서 세균으로 의심되는 구조가 관찰되어 감염성 병변 가능성이 높았습니다 . 

이후 배양검사를 통해 Enterococcus faecalis가 분리되면서, 최종적으로 간 농양으로 진단할 수 있었습니다.  


45dea41c691aea1975c51c7a51847d38_1775038249_0206.png


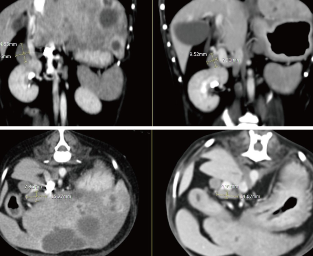
추가로 CT를 시행하였으며, 그 결과 간 실질 내 다발성 낭성 병변과 함께 췌장 석회화, 총담관 확장, 담석이 확인되었습니다. 


이번 케이스에서 간 농양이 발생한 과정은 단일 원인이라기보다는 여러 가지 기전이 복합적으로 작용했을 가능성이 높습니다. 


가장 중심이 되는 기전은 반복적인 췌장염입니다. 

만성적으로 췌장염이 지속되면 십이지장 유두부 주변에 부종, 석회화가 생기고, 또, 오디 괄약근의 기능이 저하될 수 있습니다. 이러한 변화는 담즙의 정상적인 흐름을 방해하죠.  추가로, 이로 인해 인접한 총담관이 압박되면서 담즙 정체가 유발되었을 가능성이 높습니다. 


결과적으로 이러한 환경에서는 장내 세균이 담도를 통해 역행성(ascending infection)으로 이동하기 쉬운 환경이 만들어지게 되며, 결국 간 실질 내에서 농양을 형성하게 됩니다.실제로 Enterococcus faecalis는 장내 정상균으로서 이러한 ascending infection의 원인균으로 잘 알려져 있습니다. 


여기에 더해, 해당 환자에서는 장염이 동반되어 있었기 때문에 또 다른 경로 역시 고려할 수 있습니다. 장염이 있을 경우 장 점막의 장벽 기능이 약해지면서 장내 세균이 혈류로 이동하기 쉬워지는데, 특히 문맥(portal circulation)을 통해 간으로 직접 유입될 수 있습니다. 따라서 이 환자에서는 담도를 통한 역행성 감염뿐 아니라, 장에서 문맥을 통해 세균이 이동하는 경로도 일부 기여했을 가능성을 배제할 수 없습니다.


 

45dea41c691aea1975c51c7a51847d38_1775038286_944.png
 

이 논문에서 주장하는 내용을 가져왔습니다. 


45dea41c691aea1975c51c7a51847d38_1775038297_8353.png


이 표 보시면 Biliary disease가 제일 많은 기저질환을 차지하며, 장염, Hematologenous disease, pancreatitis 등도 기저질환 중 하나임을 설명하고 있습니다. 


​- pancreatitis (→ sphincter of Oddi dysfunction) 

- cholangitis / biliary disease 

- enteritis / dysbiosis 

- portal bacteremia 

즉 이 4가지 기전이 간 농양 유발 핵심 원인으로 설명하고 있습니다. 



이제 치료 흐름 말씀드리겠습니다. 

해당 간 농양에서 추출한 농에서, 항생제 감수성 테스트를 진행하였고, 결과는 다음처럼 나왔습니다. 


45dea41c691aea1975c51c7a51847d38_1775038340_3268.png


따라서, 감수성이 있는 Ampicillin과 vancomycin, Nitrofurantoin을 사용하였습니다. 


하지만, 배양 결과를 기반으로 적절한 항생제 치료를 시행하였음에도 불구하고, 환자의 임상 상태와 염증 수치는 충분히 개선되지 않았습니다. 이는 간 농양의 구조적 특성과 관련이 있습니다. 


농양 내부는 fibrous capsule과 괴사 조직으로 둘러싸여 있기 때문에 항생제가 충분히 침투하기 어렵고, 따라서 약물 치료만으로는 감염원을 제거하는 데 한계가 있습니다. 


이러한 판단으로 초음파 유도 하에 pigtail catheter를 삽입하여 지속적인 배액을 시행하였습니다. 



45dea41c691aea1975c51c7a51847d38_1775038397_276.png
45dea41c691aea1975c51c7a51847d38_1775038397_4056.png
  


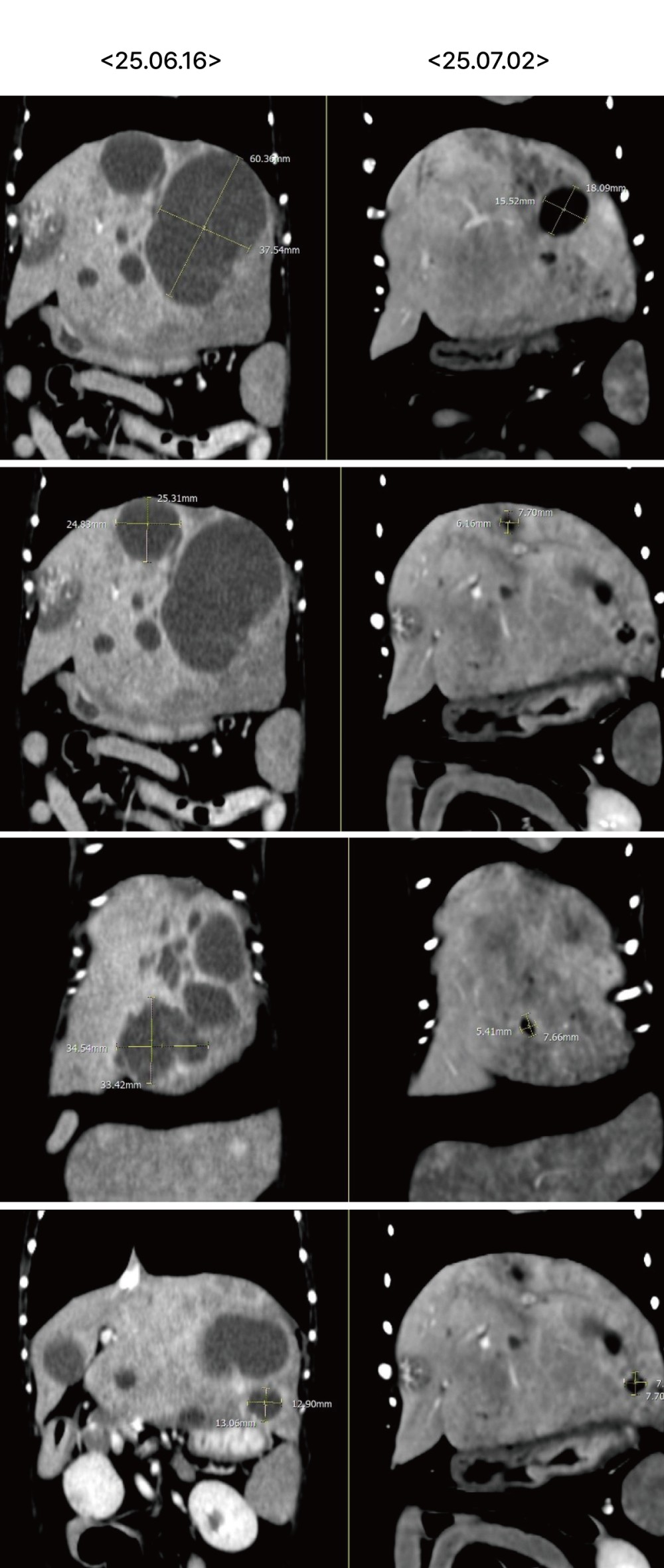
이후 환자는 점진적인 임상적 호전을 보였습니다. 

실제로 추적 CT에서도 간 내 낭성 병변의 크기가 뚜렷하게 감소하고 림프절 크기 또한 감소하여 처치에 대한 반응이 명확하게 확인되었습니다 .

45dea41c691aea1975c51c7a51847d38_1775038428_7096.jpg
 

▲ 좌측 내측엽과 가측엽에 위치하던 cystic lesion의 크기 뚜렷한 감소 및 불규칙한 변연으로 변화


 


 45dea41c691aea1975c51c7a51847d38_1775038454_7347.jpg 

▲ 이전 검사에서 뚜렷하게 종대되어 관찰되었던 간 림프절 크기 감소



45dea41c691aea1975c51c7a51847d38_1775038470_0844.jpg
▲ 대동맥 림프절의 크기 감소​


다음은 치료 결과에 따른 혈액검사 추이입니다. 


45dea41c691aea1975c51c7a51847d38_1775038488_9224.png
45dea41c691aea1975c51c7a51847d38_1775038488_9546.png 



간수치 모두, cPL(췌장염) 수치와 함께 같이 움직이는 것을 볼 수 있으며, 차차 개선세로 수렴하고 있는 모습입니다. 


이 케이스는 몇 가지 중요한 임상적 교훈을 제공합니다.

첫째, 췌장염 환자에서 간 병변이 관찰될 경우 단순 반응성 변화로 치부하기보다는 담도 폐색과 감염 가능성을 반드시 고려해야 합니다. 

둘째, 간 농양은 항생제만으로 해결되는 질환이 아니며, 특히 크기가 크거나 반응이 없는 경우에는 적극적인 배액과 같은 interventional approach가 필수적입니다. 

셋째, 노령 환자에서 췌장, 담도, 장 질환이 복합적으로 존재할 경우 병태생리는 단일 경로가 아니라 여러 경로가 동시에 작용할 수 있다는 점을 항상 염두에 두어야 합니다.



결과적으로 이 케이스는 췌장염이 담도를 막고, 

그로 인해 세균이 역행하여 간 농양을 형성한 상황으로 해석할 수 있으며, 

동시에 장염에 의한 보조적 기전까지 고려해야 했던

복합적인 사례였습니다. 


그리고 무엇보다도, 이 환자를 회복으로 이끈 결정적인 치료는 항생제가 아니라 감염원을 직접 제거하는 배액이었다는 점에서, 임상적으로 매우 중요한 의미를 갖는 케이스였습니다.


이러한 이유로, 특히 노령 환자에서 췌장염과 담도 이상이 함께 존재하는 경우에는 단순히 항생제에만 의존하기보다는, 감염의 원인을 직접 제거하는 적극적인 접근이 필요합니다. 


실제로 이 케이스에서도 배액을 통해 농양을 물리적으로 제거한 이후에야 임상적인 호전이 뚜렷하게 나타났으며, 이는 간 농양 치료에서 조기 중재적 배액과 적절한 항생제 치료의 병행이 얼마나 중요한지를 잘 보여주는 사례라고 할 수 있습니다. 



의뢰환자조회
진료시간
카카오톡
오시는길
둘러보기